Мочекаменная болезнь (МКБ) у котов — серьезное заболевание, способное вызвать тяжелые последствия для здоровья питомца. В статье рассмотрим основные причины, симптомы, методы диагностики и лечения, включая оперативные и консервативные подходы. Знание этих аспектов поможет владельцам котов своевременно распознать проблему и принять меры для обеспечения здоровья своих любимцев.
Причины мочекаменной болезни у кошек
Мочекаменная болезнь (МКБ) у котов возникает под влиянием внешних и внутренних факторов. Чаще всего она диагностируется у животных в возрасте от одного до шести лет. Из-за анатомических особенностей мочевыводящей системы коты подвержены этому заболеванию больше, чем кошки, хотя риск существует и у самок. Наибольшее количество обращений в ветеринарные клиники с симптомами МКБ наблюдается весной и осенью.
Причины МКБ разнообразны:
- Низкокачественный сухой корм в рационе;
- Ограниченная физическая активность, особенно у домашних котов;
- Генетическая предрасположенность у новых и экзотических пород, которые не адаптируются к климату;
- Неблагоприятная экологическая ситуация;
- Хронические инфекции мочевыводящей системы.
Некоторые владельцы ошибочно полагают, что МКБ возникает только у кастрированных котов. Однако стерилизация, проведенная слишком рано, может привести к заболеванию, если выделительная система кота еще не сформировалась.
Экстремальные климатические условия также влияют на развитие МКБ, вызывая учащение или сокращение позывов к мочеиспусканию. При высоких температурах первичная моча образуется редко и в небольших объемах, что приводит к ее концентрации в организме. Потребление воды не всегда помогает, так как может увеличить уровень солей и снизить кислотность, что способствует образованию камней из кристаллов соли.
Содержание белка в рационе кота влияет на уровень карбамида. Избыток белка может нарушить обмен веществ, поэтому рекомендуется снизить его долю в рационе. Важно соблюдать баланс, так как вегетарианская диета или чрезмерное количество молока могут привести к щелочной форме МКБ.
В рационе животного должно быть разумное количество продуктов, богатых витамином А, таких как растительное масло и морковь. Нехватка этого витамина может привести к нарушениям в работе печени и образованию мочевого песка.
Развитие МКБ может быть связано с избыточной выработкой паратиреоидного гормона, что повышает уровень кальция в крови и моче. Уникальная анатомия мочевыводящей системы кота, особенно изогнутая форма уретрального канала, может способствовать задержке мочи, что усугубляется ранней стерилизацией.
Патологии желудочно-кишечного тракта, такие как гастрит или колит, могут нарушать кислотно-щелочной баланс, снижая выведение избытка кальция. Инфекционные поражения мочевыделительной системы могут возникать из-за патогенных микроорганизмов, попадающих из кишечника, половых органов или уретры, а также из-за задержки мочи, связанной с конкрементами.
Мочекаменная болезнь у котов является серьезной проблемой, с которой сталкиваются многие владельцы домашних животных. Эксперты отмечают, что основными причинами возникновения этой болезни могут быть неправильное питание, недостаток жидкости и генетическая предрасположенность. Симптомы, на которые стоит обратить внимание, включают частое мочеиспускание, кровь в моче и болезненные позывы. Важно не игнорировать эти признаки, так как они могут указывать на развитие более серьезных заболеваний. Лечение мочекаменной болезни может варьироваться от изменения диеты до хирургического вмешательства в тяжелых случаях. Специалисты рекомендуют регулярные осмотры у ветеринара и контроль за рационом питомца, чтобы предотвратить возникновение этой болезни.

Мочекаменная болезнь у котов симптомы
Признаками мочекаменной болезни у кота являются:
- затрудненное мочеиспускание, при котором кот долго сидит в лотке, моча выходит медленно, слабой струей или капельками с кровяными вкраплениями;
- присутствующий в моче песок;
- во время мочеиспускания кот испытывает боль, поэтому мяукает;
- частые позывы к мочеиспусканию;
- ухудшение аппетита, рвота, судороги, дрожание, поверхностное дыхание.
| Причина | Симптомы | Лечение |
|---|---|---|
| Недостаток воды | Частое мочеиспускание, малое количество мочи, напряжение при мочеиспускании, крики во время мочеиспускания, кровь в моче | Увеличение потребления воды, диета с низким содержанием минералов, медикаментозное лечение (например, растворение камней) |
| Избыток минералов в пище | Кристаллы в моче, частые инфекции мочевыводящих путей, боль в животе, потеря аппетита, рвота | Диета с низким содержанием минералов, медикаментозное лечение (например, растворение камней), хирургическое удаление камней |
| Инфекции мочевыводящих путей | Частое мочеиспускание, боль при мочеиспускании, кровь в моче, лихорадка, потеря аппетита, вялость | Антибиотики, увеличение потребления воды |
| Наследственность | Зависит от типа камней, может проявляться любыми симптомами, описанными выше | Диета, предотвращающая образование камней, медикаментозное лечение |
| Заболевания мочевыводящих путей | Зависит от типа заболевания, может проявляться любыми симптомами, описанными выше | Лечение основного заболевания |
| Малоподвижный образ жизни | Может усугублять симптомы, связанные с образованием камней | Увеличение физической активности |
| Ожирение | Может усугублять симптомы, связанные с образованием камней | Похудение |
Интересные факты
Вот несколько интересных фактов о мочекаменной болезни у котов:
-
Предрасположенность к породам: Некоторые породы кошек, такие как персы и абиссинцы, более предрасположены к мочекаменной болезни. Это связано с генетическими факторами и особенностями обмена веществ, которые могут влиять на образование камней в мочевыводящих путях.
-
Симптомы могут быть незаметными: Коты могут проявлять симптомы мочекаменной болезни, такие как частое мочеиспускание, болезненные позывы или кровь в моче, но иногда они могут скрывать дискомфорт. Владельцы должны быть внимательны к изменениям в поведении своих питомцев, таким как агрессия или попытки скрыться, что может указывать на боль.
-
Профилактика через диету: Правильное питание играет ключевую роль в профилактике мочекаменной болезни. Специальные корма, разработанные для поддержания здоровья мочевыводящих путей, могут помочь предотвратить образование камней, а также обеспечить необходимый уровень увлажненности, что важно для здоровья почек и мочевого пузыря.
Диагностика
При первых признаках мочекаменной болезни у кошки немедленно обратитесь к ветеринару. Специалист проведет биохимический анализ мочи для определения уровня мочевой кислоты, оксалатов и содержания кальция, натрия и магния. Эти данные помогут выяснить, какие конкременты образовались в мочевыводящих путях.
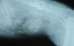
Ультразвуковое исследование мочевого пузыря и почек позволит оценить размеры камней и выявить песок в этих органах.
При необходимости могут быть назначены рентгенография и компьютерная томография для подтверждения заболевания.
Лечение
Лечение мочекаменной болезни у котов в домашних условиях возможно только после консультации со специалистом и проведения полной диагностики.
Для лечения МКБ применяют консервативное и оперативное лечение. Хирургическое вмешательство поможет избавить животное от камней и навсегда решить проблему заболевания.
Если при затрудненном мочеиспускании не удается опорожнить мочевой пузырь при помощи катетера, прибегают к операции, в ходе которой вскрывают поврежденный орган и очищают его. После этого вставляется трубка, через которую происходит удаление жидкости. Трубку удаляют при появлении признаков улучшения состояния животного. Операцию проводят под общи наркозом, восстановительный период проходит в течение 14-30 дней.
Консервативное лечение МКБ проводится с использованием лекарственных препаратов, снимающих спазмы и болевой синдром. Также оно направлено на снижение воспалительного процесса и подавление инфекции в организме животного.
В случае, если в мочевом пузыре кота обнаружены конкременты небольшого размера, для лечения применяют спазмолитические препараты, антибиотики и иммунномодулирующие препараты. Животному назначается специальная лечебная диета.

Профилактика
Основная задача профилактических мероприятий — предотвращение повторного возникновения болезни. Специалисты рекомендуют:
- питомец должен иметь постоянный доступ к воде. Кошки нуждаются в достаточном количестве жидкости для увеличения суточного диуреза. Вместо воды можно предлагать отвар аптечной ромашки, который помогает при воспалительных процессах.
- рацион кошек с избыточным весом должен быть низкокалорийным;
- при нарушениях стула у кошки используйте слабительные средства для быстрого устранения проблемы;
- не допускайте переохлаждения питомца. Животное не должно находиться на сквозняке во время проветривания;
- строго соблюдайте лечебную диету, подобранную в зависимости от типа конкрементов.
Ветеринары не советуют кормить питомца однообразной пищей. Рацион должен быть разнообразным и сбалансированным. Для питья лучше использовать бутилированную или мягкую воду. Исключите из рациона субпродукты, молоко и творог. Разрешается свекла, цветная капуста, пропаренный рис, каши из различных злаков и небольшое количество отварной рыбы.

Влияние питания на мочекаменную болезнь
Питание играет ключевую роль в развитии и профилактике мочекаменной болезни у котов. Неправильный рацион может способствовать образованию камней в мочевыводящих путях, что приводит к серьезным проблемам со здоровьем. Важно понимать, какие компоненты корма могут влиять на формирование камней и как правильно составить рацион для вашего питомца.
Существует несколько типов мочевых камней, и каждый из них может образовываться под воздействием определенных факторов, связанных с питанием. Например, струвитные камни часто возникают при высоком уровне магния и фосфора в рационе, а также при недостаточном потреблении воды. Оксалатные камни, в свою очередь, могут образовываться из-за избытка оксалатов в пище, которые содержатся в некоторых овощах и фруктах.
Коты, как правило, имеют низкое чувство жажды и могут не пить достаточное количество воды, что увеличивает риск образования камней. Поэтому важно обеспечить питомцу доступ к свежей воде и поощрять его пить. Один из способов сделать это — включить в рацион влажные корма, которые содержат больше влаги по сравнению с сухими. Влажные корма могут помочь увеличить общее потребление жидкости и снизить концентрацию минералов в моче.
При выборе корма для кота следует обращать внимание на его состав. Корма, содержащие высококачественные источники белка, такие как мясо и рыба, могут быть более предпочтительными. Однако важно избегать кормов с высоким содержанием углеводов, так как они могут способствовать образованию камней. Также стоит учитывать уровень минералов, таких как кальций, магний и фосфор, и выбирать корма с их сбалансированным содержанием.
Кроме того, некоторые производители предлагают специализированные корма для котов, предрасположенных к мочекаменной болезни. Эти корма разработаны с учетом потребностей животных, страдающих от данной патологии, и могут помочь в профилактике и лечении. Однако перед переходом на такой рацион рекомендуется проконсультироваться с ветеринаром.
Важно помнить, что изменение рациона должно происходить постепенно, чтобы избежать расстройства пищеварения у кота. Ветеринар может помочь составить индивидуальный план питания, учитывая возраст, вес, уровень активности и здоровье вашего питомца.
В заключение, правильное питание является важным аспектом профилактики мочекаменной болезни у котов. Обеспечение сбалансированного рациона, достаточного потребления воды и использование специализированных кормов могут значительно снизить риск образования камней и улучшить общее состояние здоровья вашего питомца.
Вопрос-ответ
От чего возникает мочекаменная болезнь у котов?
Причины мочекаменной болезни у котов. Причина возникновения — повышенное содержание кальция, увеличивающее кислотность рН мочи. Струвиты — камни с твердой структурой, появляющиеся из-за переизбытка магния и фосфора, приводящего к ощелачиванию мочи.
Как быстро помочь коту при мочекаменной болезни?
Очень важно при этом заболевании достаточное употребление воды. Кошки от природы пьют мало, но в домашних условиях можно предложить различные фонтанчики с журчащей водой, миски разной глубины и диаметра, а также специальные добавки к рациону, увеличивающие потребление воды, например, PURINA PRO PLAN GYDRA CARE.
Что может стать причиной образования камней в почках у кошки?
Условия в мочевыводящих путях также могут способствовать образованию камней. На все эти состояния могут влиять инфекции мочевыводящих путей, питание, пищеварение, количество выделяемой кошкой мочи, частота мочеиспускания, принимаемые лекарства и генетическая предрасположенность.
Чем нельзя кормить кошек при мочекаменной болезни?
Для того чтобы четко понимать, как кормить кошку натуральной едой, следует знать, какую пищу при МКБ в строгом порядке надо исключить из рациона питомца. В первую очередь это касается продуктов, содержащих кальций — творог, яйца и другие варианты молочной продукции.
Советы
СОВЕТ №1
Регулярно следите за поведением вашего кота. Обратите внимание на частоту мочеиспускания и наличие крови в моче. Если вы заметили изменения, такие как частые попытки мочеиспускания без результата или болезненные симптомы, немедленно обратитесь к ветеринару.
СОВЕТ №2
Обеспечьте вашему коту доступ к свежей воде в любое время. Увлажнение играет ключевую роль в профилактике мочекаменной болезни, так как помогает разбавить мочу и уменьшить риск образования камней.
СОВЕТ №3
Следите за рационом питания вашего питомца. Выбирайте качественные корма, специально разработанные для предотвращения мочекаменной болезни. Консультируйтесь с ветеринаром по поводу оптимального питания для вашего кота.
СОВЕТ №4
Регулярно проводите профилактические осмотры у ветеринара. Это поможет выявить потенциальные проблемы на ранних стадиях и позволит вашему коту оставаться здоровым и активным.


